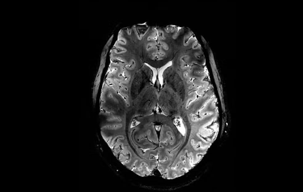
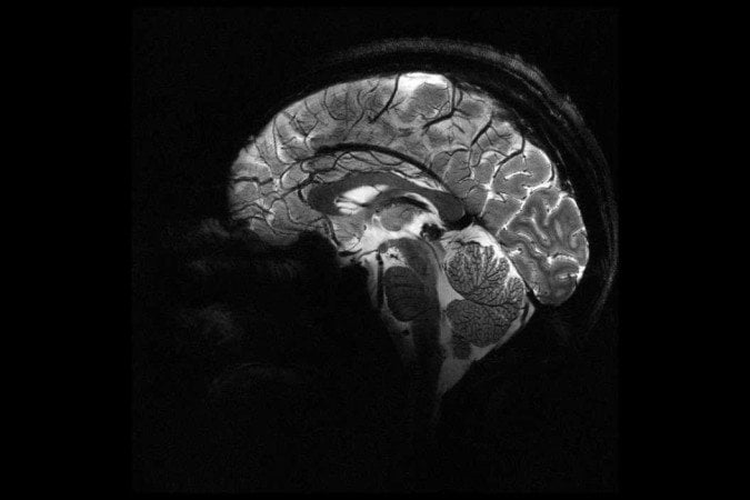
Prepare-se para ser surpreendido! Recentemente, a Comissão Francesa de Energia Atômica e Energia Alternativa (CEA) revelou à imprensa o que seriam as primeiras imagens de um cérebro humano. As mesmas foram capturadas por um scanner de ressonância magnética (RM) de 11,7 Teslas, o mais potente do mundo, lançando luz sobre a anatomia e função do órgão.
O gigante tecnológico, apelidado de Iseult, foi desenvolvido ao por duas engenheiros e físicos franceses e alemães. Ele apresenta capacidade de revolucionar o diagnóstico e tratamento de doenças como e supera em potência e precisão todos os seus predecessores. Saiba mais no texto a seguir, do Engenharia 360!

Detalhes do scanner de ressonância magnética
O scanner Iseult está hoje instalado em um endereço de Saclay, ao sul de Paris. Ele tem um ímã de 132 toneladas e uma bobina de 1.500 amperes, alojados em um cilindro de cinco metros de largura e altura. Necessita de 7.500 litros de hélio líquido para funcionar. E sua abertura de 90 centímetros oferece espaço suficiente para acomodar o paciente.
Vale destacar que esta máquina pode captar imagens com resolução 10 vezes maior do que os scanners de ressonância tradicionais, chegando a registar microscópicos do cérebro humano em apenas 4 minutos, ou minúsculos vasos sanguíneos que irrigam o córtex cerebral. O nível de precisão é sem precedentes! Impressionante, não?
Só para se ter uma ideia, com os resultados de informações obtidos desse modelo de ressonância, os cientistas podem simular estruturas e funções cerebrais com uma clareza sem precedentes. Pense nas possibilidades de pesquisa!
Salto quântico na luta contra doenças
Com auxílio de máquinas de ressonância como Iseult, os médicos poderão identificar mais facilmente em seus pacientes as causas de doenças neurodegenerativas, como Alzheimer e Parkinson, transtornos psicológicos, incluindo depressão e esquizofrenia, e até mesmo o desenvolvimento cerebral em crianças. Também mapear a distribuição de substâncias químicas vitais, como o lítio, em tratamentos para transtorno bipolar. Isso levaria a diagnósticos precoces e tratamentos mais eficazes.
PUBLICIDADE
CONTINUE LENDO ABAIXO


Veja Também: Engenharia Biomédica: A Convergência da Engenharia e Medicina numa Profissão
Futuro da pesquisa cerebral com Iseult
Por hora, os desenvolvedores do scanner de ressonância Iseult afirmam que a máquina ainda não está pronta para uso clínico direto. Mas, quando isso for possível, veremos avanços significativos nos métodos de diagnóstico e tratamentos hospitalares. Será uma nova era para a exploração do cérebro humano.
Através da investigação dos diferentes estados cerebrais, estrutura e cognição, será possível compreender melhor o cérebro humano, desenvolver novas soluções e salvar milhões de vidas!
Depois dessas imagens incrivelmente nítidas, são aguardadas muitas inovações no campo da neurociência para os próximos anos. Fique ligado!
PUBLICIDADE
CONTINUE LENDO ABAIXO
Veja Também:
Fontes: Correio Braziliense.
Imagens: Todos os Créditos reservados aos respectivos proprietários (sem direitos autorais pretendidos). Caso eventualmente você se considere titular de direitos sobre algumas das imagens em questão, por favor entre em contato com contato@engenharia360.com para que possa ser atribuído o respectivo crédito ou providenciada a sua remoção, conforme o caso.
Comentários
Redação 360
Nossa missão é mostrar a presença das engenharias em nossas vidas e a transformação que promovem, com precisão técnica e clareza.
